看到一则新闻,是关于一条被主人狠心抛弃的拉布拉多犬的故事。
新闻中说,这只17个月大的拉布拉多犬,罹患了巨食道症,食道异常扩张,无法控制食道肌肉将食物送至胃,主人不知道如何饲养,便将狗狗遗弃在了动物救援中心的门口。
后来在动物救援组织的帮助下,狗狗得以恢复健康,但与其他正常狗狗明显不同的是,狗狗只能站立吃饭。

故事看到这里,相信大家除了对狗狗产生同情之外,更多的是想要了解什么是犬巨食道症吧。对于有医学背景的铲屎官来说,该病可能并不陌生,但对于新手小白又毫无经验的铲屎官来讲,确是冷门和陌生的。
为了自家狗狗健康,为了能第一时间判断自家狗狗喂食后发生的“呕吐”到底是呕吐还是反流时,我觉得大家都有必要了解一下犬的巨食道症。
首先,关于什么是犬的巨食道症:一句话概括总结为:犬的巨食道症是发生在犬类中的食管蠕动能力丧失并增大的一种疾病。可分为先天性食道神经障碍((常见于5至7周大,刚刚开始喂食固体犬粮的幼犬),和后天继发性食道肌肉障碍(常见于7至15年龄犬)。
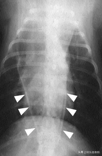
狗狗食管扩张X光片
那么,患犬有哪些表现症状呢:1、食道反流(是该病的主要临床症状):患犬强制性喂食或自由饮水几分钟后,常可见食物和水经口鼻流出,时间和频率不定。
2、食道反流,容易将异物掉入肺中,引起吸入性肺炎症状。
3、食道反流会带一些胃酸到食道中,胃酸侵蚀食道,引起胃酸侵蚀性食道炎症状。
犬巨食道症的病因及诊断1、先天性神经障碍发病机制尚不完全清楚,但一些研究已经指出可能是食管的迷走神经传入缺陷导致。
2、后天性食道肌肉障碍,引起的原因可能有:重症肌无力、多发性肌炎、铅、铊中毒、食道异物或肿瘤、甲状腺功能减退、肾上腺皮质减退等。关于后天性食道肌肉障碍,在治疗上需对症治疗,针对给药。
▼关于犬巨食道症的诊断:
消化道的X线钡餐造影是确诊犬巨食症的关键,X光显示犬食道又大又黑,再结合呕吐物性状及PH值,方可确诊。
犬巨食道症怎么治疗:1、针对先天性或自发性神经障碍,目前并没有治愈的可能性(无法治疗),所以很多兽医对于确诊患有该病症的幼犬建议安乐死,但个别案例,区别对待。
2、后天继发性食道肌肉障碍,治疗方式上,主要采取对症治疗,减少反流、保护胃黏膜,增强食道机能的方式来缓解患犬症状。
3、犬站立采食,尽量吃流质,稀软食物,饲喂量满足犬体能需要即可。(进食后还需额外站立二十分钟左右)。对于病情严重犬,可以直接装胃管。虽然,通过这个喂食管能将营养物质送入到胃部,但这个不是一本万利的治疗方法。一方面,胃管必须经常清洗,另一方面,犬只本身仍然会在吞咽过程中出现唾液反流的情况。
方便狗狗采食的贝利椅,图自网络
▼小结:在发现狗狗有无端食后“呕吐”、日渐消瘦,又查不出其他异常疾病时,要优先考虑犬巨食道症,并及时就医确诊。
在确诊病症之前,切忌不可自行乱喂药物,比如针对消化不良的药剂,比如针对呕吐的药剂等等。
如若狗狗不幸确诊为巨食道症时,不管是先天性还是后天性,都请不要放弃狗狗。能治疗时尽量配合兽医治疗(加强管理、清除诱因、避免吸入性肺炎及胃酸侵蚀性食道炎的发生。)
写在最后:
关于犬的巨食道症状,铲屎官们了解了吗?拥有一只健康的狗狗,是我们的幸运,但若狗狗不幸患上了这种无法治愈或治愈不良的病症后,希望大家能够好好善待自家的狗狗,切忌不要抛弃,任其自生自灭。
@健康真相官
(★本文图片均来自网络,如有侵权,请联系删除。)
免责声明:本文章如果文章侵权,请联系我们处理,本站仅提供信息存储空间服务如因作品内容、版权和其他问题请于本站联系